w w w . t h a i o r t h o . p o l z a r . c o m

ภาวะกระดูกขากรรไกรผิดปกติ
ข้อมูลเกี่ยวกับภาวะขากรรไกรผิดปกติ

click here

มองทางด้านหน้า

การสบฟันปกติ

ในกรณีที่ฟันสบปกติ ฟันหน้าบนจะครอบฟันหน้าล่างลึกประมาณ 1-2 มม. เส้นแนวดิ่งระหว่างฟันตัดกลางบนจะตรงกับเ ส้นแนวดิ่งระหว่างฟันตัดกลางล่าง

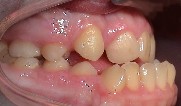
ภาวะสบเปิด

ในกรณีฟันสบเปิด ขณะกัดฟันบนและฟันล่างเข้าด้วยกัน ฟันจะไม่แตะกัน จะมีช่องโหว่อยู่ระหว่างแนวฟันบนและแนวฟั นล่าง โดยสามารถแบ่งออกได้เป็น การสบเปิดด้านหน้าของฟันหน้าและการสบเปิ ดด้านข้างของฟันหลัง

ภาวะสบลึก

ในกรณีฟันสบลึก ฟันตัดบนจะครอบฟันตัดล่างลึกลงมามากเกิน กว่า 3 มม. (สบปกติลึก 1-2 มม.) ซึ่งอาจทำให้เกิดฟันล่างกัดทิ่มเพดานปากได้

มองทางด้านข้าง

click here

click here

การสบฟันปกติ

ในกรณีที่ฟันสบปกติ ส่วนที่เป็นปุ่มอันหน้าของฟันกรามบนซี่แรก (ฟันหลัง) จะกัดทับส่วนที่เป็นรอยเว้ากลางของฟันกรามล่างซี่แรก ฟันเขี้ยวบนจะกัดลงอยู่หลังฟันเขี้ยวล่าง

ภาวะฟันหน้าบนยื่นมาก

ในภาวะฟันหน้าบนยื่นมาก ฟันกรามบนซี่แรก (ฟันหลัง)จะอยู่หน้าฟันกรามล่างซี่แรก

ภาวะฟันหน้าบนหลุบ/คางยื่น

ในภาวะคางยื่น ขณะกัดฟันบนและล่างเข้าหากัน ฟันหน้าล่างจะครอบฟันหน้าบน โดยสามารถแบ่งภาวะคางยื่นออกได้เป็น ภาวะคางยื่นแท้ ซึ่งถูกสืบทอดทางกรรมพันธุกรรมได้ (กระดูกขากรรไกรล่างใหญ่กว่าปกติ) และภาวะคางยื่นไม่แท้ (กระดูกขากรรไกรบนเล็กกว่าปกติ)

upwards

Last update 21.11.2008. This Page is not supported by anybody and does not accept advertisement and the content is originated to the autor vis. Prof. Dr. Gerhard Polzar (K.K.U.), Orthodontist.