w w w . t h a i o r t h o . p o l z a r . c o m

การจัดฟันแบบใช้แรงการทำงานของกระดูกขากรรไกร

ในผู้ป่วยที่มีฟันถาวรทั้งหมดแล้ว อายุระหว่าง 12-15 ปี สามารถนำแรงในการเจริญเติบโตที่ยังมีเหลืออยู่มาใช้ในการจัดเลื่อนกระดูก ขากรรไกรล่าง ขยับออกมาทางด้านหน้าได้ โดยนอกจากใช้เครื่องมือจัดฟันชนิดติดแน่น เช่น SUS (และ Herbst appliance) แล้ว เครื่องมือชนิด Twin-Block แบบ Dr. William J. Clark ยังสามารถช่วยรักษาภาวะคางหดสั้นได้ผลดีอีกด้วย ข้อดีของเครื่องมือจัดฟันที่ต้องใส่อยู่ตลอดเวลานี้คือ ผู้ป่วยสามารถถอดออกด้วยตัวเองได้ ทำให้ช่องปากว่างสามารถพูดได้ชัด

ก่อนเข้ารับการรักษา

หลังได้รับการรักษา

เวลาที่ใช้ในการรักษาจนถึงขั้นนี้ 1 ปี 2 เดือน

การรักษา

ผู้ป่วยรายนี้มีคางหดสั้นทางด้านขวาและฟันหน้าบนซ้อน ได้รับการรักษาโดยใช้เครื่องมือชนิดถอดได้ Twin-Block ช่วยขยายขากรรไกรบนและล่าง พร้อมทั้งช่วยขยับขากรรไกรล่างเคลื่อนมาทางด้านหน้า จากการเคลื่อนตำแหน่งขากรรไกรดังกล่าวทำให้เกิดภาวะฟันสบเปิดด้านข้างติดตามมา ซึ่งภาวะที่เรียกได้ว่าเป็นผลติดตามมาในทางบวกนี้จะสามารถพบได้ในการรักษาจัดฟันแบบใช้แรงการทำงานของกระดูก ขากรรไกรโดยทั่วไป
ในการรักษาในขั้นตอนต่อไปจะรักษาภาวะสบเปิดด้านข้างให้หายไปและทำให้ฟันสบได้ถูกต้องเหมาะสม

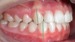
ก่อนเริ่มทำการรักษา

ขากรรไกรล่างหลุบด้ านขวาด้านเดียว

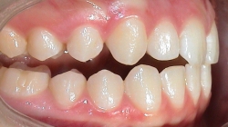
หลังการรักษาโดยใช้เครื่องมือชนิด

หลังจากได้รับการรักษาโดยใช้เค รื่องมือชนิด Twin-Block เคลื่อนกระดูกขากรรไกรมาทางด้ านหน้าประสบผลสำเร็จแล้ว จะเห็นได้ว่าเกิดภาวะสบเปิดด้าน ข้างขึ้น

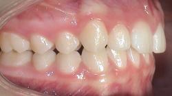
ใส่เครื่องมือชนิดติดแน่น

ใช้เครื่องมือชนิดติดแน่นมัลติแบ นด์ ที่มีเส้นยางดึงด้านข้างช่วยรักษาภ าวะสบเปิดให้หายไป ทำให้ฟันสบได้ปกติ

ก่อนเริ่มทำการรักษา

หลังได้รับการรักษา

ผู้ป่วยหญิงรายนี้มีภาวะคางหดสั้นเพียงครึ่งซี่ฟันกรามน้อย จึงทำให้ฟันเขี้ยวและฟันกรามน้อยสบแบบปุ่มปลายฟันชนกัน

สามารถทำให้เกิดภาวะความสัมพันธ์ระหว่างฟันเขี้ยวแบบเป็น กลางและการสบฟันแบบเป็นกลางในบริเวณฟันข้างได้ ซึ่งเหมือนกับการรักษาด้วยเครื่องมือชนิดมัลติแบนด์โดยทั่วไป จะสมารถเคลื่อนจัดตำแหน่งฟันกรามน้อยได้ในขั้นตอนการคง สภาพฟันขั้นสุดท้าย โดยจะขัดเส้นลวดยึดฟันเส้นสุดท้าย

เครื่องมือชนิด Twin-Block ที่ใช้ในผู้ป่วย

ตำแหน่งกระดูกขากรรไกรล่างเมื่อรักษาด้วยเครื่องมือชนิด Twin-Block

upwards

Last update 21.11.2008. This Page is not supported by anybody and does not accept advertisement and the content is originated to the autor vis. Prof. Dr. Gerhard Polzar (K.K.U.), Orthodontist.