w w w . t h a i o r t h o . p o l z a r . c o m

ภาวะคางยื่น
Prognathism ภาวะคางยื่น

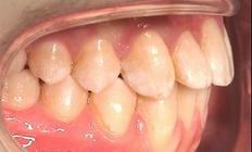
ก่อนเข้ารับการรักษา

ในกรณีที่ผู้ป่วยมีภาวะคางยื่นหรือคางหดสั้น อาจมีสาเหตุมาจากกระดูกขากรรไกรบนเล็กเกินไปหรือกระดูกขากรรไกรล่า งใหญ่เกินไป จึงทำให้สบฟันหน้าบนลงหลังฟันหน้าล่าง (การสบฟันแบบไขว้ในฟันหน้า) หรือสบฟันแบบปลายชนปลาย ความผิดปกติชนิดนี้พบได้ใน 10 เปอร์เซ็นต์ ของผู้ป่วยทั้งสิ้น และโดยส่วนมากแล้วจะเป็นการได้รับถ่ายทอดทางพันธุ์กรรมเช่นเดียวกันกับ ภาวะฟันสบเหลื่อมชนิด Class II Division II Overbite สิ่งสำคัญในกรณีนี้คือ ต้องเริ่มต้นทำการรักษาแต่เนิ่นๆ การรักษาต้องใช้เวลานาน และหนึ่งในสิบของผู้ป่วยต้องได้รับการผ่าตัดรักษาในภายหลังเมื่ออายุครบ 18 ปีขึ้นไปอีกด้วย (ในกรณีคางยื่นมาก)

progenie1_Mund_E

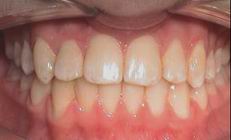
หลังได้รับการรักษา

การรักษาใช้เวลา 2 ปี 2 เดือน

การรักษา

การใช้เครื่องมือจัดฟันชนิดถอดได้ทำให้จัดฟันได้ผลดีมากที่สุด ในการจัดฟันในขั้นที่สองสามารถจัดตำแหน่งฟันหน้าให้เข้ารูปสวยงามได้โดยการปรับเครื่องมือจัดฟันชนิดมัลติแบนด์

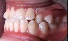
ก่อนรักษา

progenie1_3
progenie1_1
progenie1_2
progenie1_6
progenie1_4 progenie1_5

ภายหลัง

progenie_2

โดยการใช้แผ่นเครื่องมือจัดฟันชนิดนี้ทำให้สามารถรักษ าภาวะผิดปกติของฟันและโครงสร้างกระดูกได้ และในการรักษาในขั้นต่อไปใช้แผ่นเครื่องมือจัดฟันชนิ ด Bertoni-VDP และเครื่องมือชนิดมัลติแบนด์ (Brackets) ปรับจัดฟันให้สบได้ปกติ

progenie2
fbplatte

ในการเคลื่อนตำแหน่งฟันแต่ละซี่ใช้เครื่องมือชนิดนี้ช่ว ยเพียงอย่างเดียวก็เพียงพอ

upwards

เปรียบเทียบรูปหน้าด้านข้าง

Kopie vonSpange (1)

ในกรณีมีภาวะผิดปกติรุนแรง ต้องใช้เครื่องมือช่วยกระตุ้นจัดฟันแบบของ Dr. Polzar

Last update 21.11.2008. This Page is not supported by anybody and does not accept advertisement and the content is originated to the autor vis. Prof. Dr. Gerhard Polzar (K.K.U.), Orthodontist.