w w w . t h a i o r t h o . p o l z a r . c o m

 ภาวะคางหลุบ ฟันบนยื่น ตัวอย่าง

คนไข้หญิงรายนี้ได้รับการรักษาภาวะคางหลุบโดยใช้เครื่องมือกระตุ้นแอกติเ วเตอร์และเครื่องใช้กระตุ้นเพื่อจัดฟันแบบของ Prof. Sander ก่อน
ในขั้นตอนต่อไปจึงรักษาโดยใช้เครื่องมือจัดฟันชนิดติดแน่น เพื่อช่วยจัดฟันแต่ละซี่ที่ผิดปกติที่อยู่บนขากรรไกรที่จัดเข้ารูปแล้ว หลังจากได้รับการรักษาอย่างต่อเนื่องแบบหลายขั้นตอนโดยใช้เครื่องมือจัดฟั นชนิดถอดได้และชนิดติดแน่นแล้วเท่านั้นจึงสามารถทำให้การรักษาได้ผลดี ที่สุด

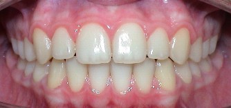
ก่อนเข้ารับการรักษา

หลังได้รับการรักษา

การรักษาใช้เวลานาน 2 ปี 8 เดือน

ก่อนเข้ารับการรักษา

หลังจากได้รับการรักษา

เครื่องมือใช้กระตุ้นแอกติเวเตอร์ โดยใช้แรงจากกล้ามเนื้อ ชนิดมีลูกปัด

upwards

รูปหน้าเปลี่ยนแปลงไป และใบหน้าดูสวยงามขึ้นอย่างเห็นได้ชัด

เปรียบเทียบรูปหน้ามองด้านข้าง

เครื่องมือจัดฟันมัลติแบนด์
(ชนิดติดแน่น)

Last update 21.11.2008. This Page is not supported by anybody and does not accept advertisement and the content is originated to the autor vis. Prof. Dr. Gerhard Polzar (K.K.U.), Orthodontist.