w w w . t h a i o r t h o . p o l z a r . c o m

ฟันผิดปกติ
ข้อมูลเกี่ยวกับภาวะฟันผิดปกติ

click here

มองทางด้านหน้า

ฟันห่าง

เป็นภาวะฟันผิดปกติอันมีสาเหตุมาจากฟันซี่เล็กเกินไ ป ฟันหายไปบางซี่ ฟันหน้าเอนยื่นออกมาด้านหน้ามากเกินไป หรือมีแรงดันจากลิ้นมากเกินไป ซี่ฟันจะไม่ติดกัน ทำให้พูดไม่ชัดหรือกลืนอาหารไม่สะดวก นอกจากนั้นแล้วโรคปริทันต์อักเสบและแรงกดดันปริ ทันต์ที่ผิดปกติจะทำให้ฟันห่างมากขึ้น

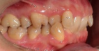
ฟันซ้อนเก

เป็นภาวะฟันผิดปกติอันมีสาเหตุมาจากฟันซี่ใหญ่เกิน ไป กระดูกขากรรไกรเล็กเกินไป หรือมีแรงดันระหว่างซี่ฟันมากเกินไป จึงทำให้ฟันเคลื่อนตัวเข้าชิดกันมากหรือเคลื่อนตัวไป ซ้อนกัน ซี่ฟันจะอยู่ซ้อนสลับกัน ทำให้รักษาความสะอาดได้ลำบากและทำให้ดูแล้วไม่ส วยงาม

ภาวะช่องฟันหน้าห่าง

เป็นภาวะฟันผิดปกติที่มีช่องว่างระหว่างฟันบริ เวณตรงกลางขากรรไกรบนและล่างมากเกินป กติ ช่องระหว่างฟันหน้ากลางบนและล่างจะห่างผิด ปกติ ส่วนมากจะมีสาเหตุมาจากเนื้อยึดริมฝีปากให ญ่เกินไป อาจทำให้พูดไม่ชัดและมองดูแล้วไม่สวยงาม

มองทางด้านข้าง

ฟันหน้าสบลึก

เป็นภาวะฟันผิดปกติ ซึ่งโดยส่วนมากจะสืบทอดทางพันธุกรรมหรือเนื่องมาจาก การดูแลรักษาฟันในภายหลังอย่างไม่เพียงพอ จึงทำให้ฟันเคลื่อนที่จากตำแหน่งเดิม เป็นภาวะฟันผิดปกติที่โดยส่วนมากจะมีการสบฟันลึกมา ก ซึ่งในกรณีนี้อาจจะมองไม่เห็นฟันหน้าล่างเลยเพราะถูก ฟันหน้าบนคร่อมปิดบังไว้ทั้งหมด ฟันหน้าบนจะเอนเข้าด้านในมาก โดยส่วนมากแล้วจะเป็นความผิดปกติที่สืบทอดมาทางกร รมพันธุ์ที่บ่อยครั้งทำให้เกิดโรคทางกระดูก

upwards

Last update 21.11.2008. This Page is not supported by anybody and does not accept advertisement and the content is originated to the autor vis. Prof. Dr. Gerhard Polzar (K.K.U.), Orthodontist.